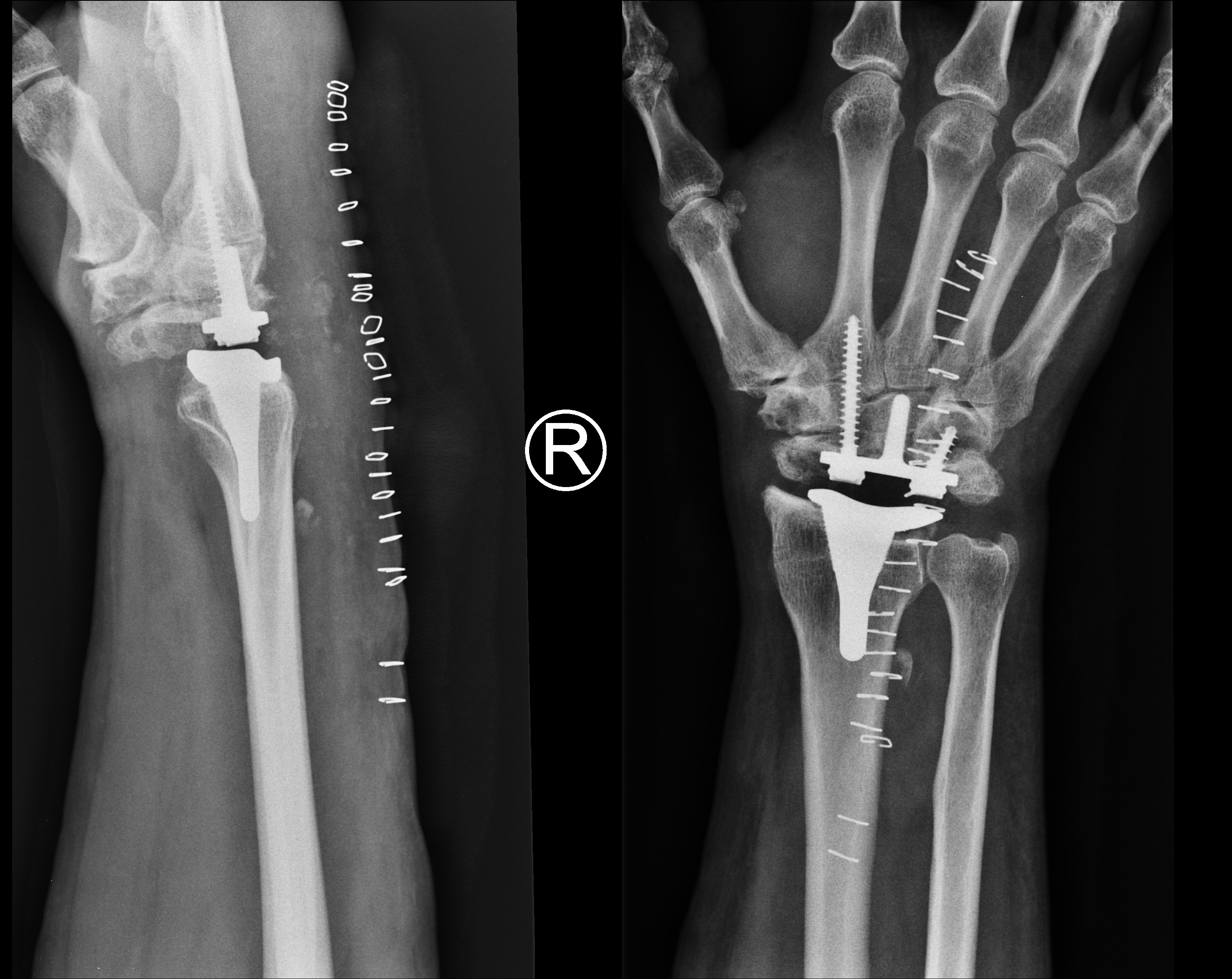
Endoproteza nadgarstka – pionierski zabieg buskich ortopedów
Z ogromną satysfakcją informuję, że w miesiącu listopadzie br. doktor Włodzimierz Witwicki wraz z zespołem, przeprowadził w buskim szpitalu bardzo trudny i rzadko wykonywany zabieg operacyjny endoprotezy nadgarstka – poinformował o sukcesie lekarzy ortopedów dyrektor ZOZ Grzegorz Lasak na e-stronie placówki.
U operowanego pacjenta w młodości doszło do urazu nadgarstka, co zaskutkowało zwyrodnieniem, objawiającym się blokadą ruchu oraz dużymi dolegliwościami bólowymi. Do wymiany stawu nadgarstka dochodzi wtedy, gdy leczenie farmakologiczne nie przynosi pozytywnych efektów.
Skutkiem przeprowadzonego zabiegu jest uwolnienie pacjenta od przejmującego bólu, widocznej gołym okiem opuchlizny, oraz usunięcie dolegliwości związanych ze sztywnością stawu. Przed zabiegiem, chory nie mógł wykonywać nawet prostych, podstawowych czynności typu: zapinanie odzieży na guziki, posługiwanie się kluczami itp. Dziś – po zabiegu – poprawie uległ komfort jego życia, a dolegliwości bólowe ustąpiły.
Warto podkreślić, że jest to pierwszy w Polsce zabieg, z wykorzystaniem konkretnej endoprotezy nadgarstka, renomowanej – amerykańskiej firmy (nazwy nie podajemy). Podobne zabiegi wykonywane są w naszym kraju wyłącznie na terenie specjalistycznych klinik.
– Nasza ortopedia – pracujący tam ludzie – cieszą się coraz większym uznaniem – z dumą podkreśla dyrektor Grzegorz Lasak. – Nierzadko jednak, pacjent musi na zabieg poczekać, co może rodzić pewne niezadowolenie, jednak proszę o wyrozumiałość w tym względzie. Wykonujemy kilka a nawet kilkanaście zabiegów dziennie, a zatem pewien czas oczekiwania jest nieodzowny – dodaje.
W skład zespołu operacyjnego weszli: prowadzący zabieg – lek.med. Włodzimierz Witwicki, asystował lek.med. Jacek Piątek. Pielęgniarki: Tamara Gębicz, Magdalena Wlazło, Paulina Kolarz, anestezjolog Zuzanna Sagan
Jarosław Kruk: Szczere gratulacje i wyrazy uznania!
◙ Podobne informacje:






























